37 year male with SOB, decreased urine output, abdominal distension

37 year male with SOB, decreased urine output, abdominal distension and facial puffiness, pedal edema



This is online E log book to discuss our patient’s de-identified health data shared after taking his/her/guardian’s signed informed consent. Here we discuss our individual patient’s problems through
 series of inputs from available global online community of experts with an aim to solve those patients clinical problems with collective current best evidence based inputs. This e-log book also reflects my patient centered online learning portfolio and your valuable inputs on comment box is welcome."
                                         " I’ve been given this case to solve in an attempt to understand the topic of “patient clinical data analysis" to develop my competency in reading and comprehending clinical data including history, clinical findings, investigations, and come up with diagnosis and treatment plan "




Unit posting (Intern 2017)

Medical Ward 
GM II 
Dr Nikitha
Dr Haripriya
Dr Govardhini
Dr Stimita


CHIEF COMPLAINTS

Patient came with the chief c/o SOB, decreased passage of urine, abdominal 

distension,pedal edema,facial puffiness since 1 day (yesterday morning)


HISTORY OF PRESENTING ILLNESS


Patient was apparently asymptomatic 1 day ago, then he developed  -

■ SOB -

Since yesterday  morning. 
It was sudden in onset(he said that,when it started,he was sitting at time) and aggravates on walking,on supine position and decreases when he sleeps in lateral positionposition(both right and left).
Continuous,non progressive.

It is not associated with chest pain.
No h/o cough,sweating, palpitations.




■ Abdominal distension -

Since yesterday, gradually progressive.




■ Decreased urinary output -

He didn't pass urine from yesterday morning to evening.

 Then they called RMP doctor.He gave 1 Injection and 2 tablets(details not available)
   ⬇️

After 1 hour he passed urine.
   ⬇️

After that abdominal distension decreased a bit.

There is no loin pain,urgency, frequency,burning micturition,dysuria.



■ Pedal edema -

Since 1 day

Pitting type.

Yesterday it was till knee length, today it decreased and till ankle length.


■ H/o decreased sensation, numbness and tingling sensation in the left lower limb since 10 years.


On asking, he gave a history of fever and pus discharge 4 days ago ,describing  below 


Patient had purulent secretions from the area just below the scrotum (? fistula) and fever 4 days ago.
                                                ⬇️

Then he consulted RMP doctor and took AMOXICILLIN, DOMPERIDONE,PARACETAMOL for 3 days.
                                                ⬇️

Then his fever and pus secretions was decreased.
                                                ⬇️

But after 2 days he developed edema in both upper and lower limbs and facial puffiness.
                                                ⬇️

And SOB,abdominal distension and decreased urine output since yesterday morning.


Patient passed flatus on 28/7/23night.




PAST HISTORY

Patient had a similar history of SOB 6 months ago, grade 4.

For that he went to a hospital in Devarkonda.

There doctor said that there is water accumulation in the chest ( ? Hydrothorax) and that will decrease on taking medication


So, he took medication(detials not available)for 1 month and was cured.

H/o epilepsy 15 years ago and not on regular medication.

N/k/c/o TB,asthma,DM,HTN,CVA,CAD


past surgical history -

Patient fell from the bridge 10 years ago and got spinal injury and spinal surgery was done.


After 3-4 years, he had a thorn prick in the  right feet, the infection spreaded(according to patient and the attender)in the leg and amputation was done.


FAMILY HISTORY 

Not significant


PERSONAL HISTORY


Patient lives with his wife and 2 daughters.
He stays at home and walks around the home and nearby with the help of Walker after his amputation was done7-8 years ago).

Coming to his life history in short,

10 years ago,

He was auto driver and was living a happy family life with his wife and daughter.
Then he had an accident (he fell from the bridge) and got spinal injury and spinal surgery was done in our hospital.

Then,

7-8 years ago, 
He had a thorn prick in the right foot and the infection got spreaded in the right leg.So,Amputation was done.

Since then he has been staying at home.
His wife is daily wage worker, she goes to work and his both the daughters go to school (elder one studies in 12th standard and younger one just started her schooling)and patient lives a daily routine bound life at home.


He was completely fine all these years(didn't visit hospital)

But 6 months ago,
He developed SOB,and for that he visited hospital in Devarkonda.



He wakes up around 6 am, after freshing up, takes a cup of tea, spends time at home(eaither sitting,lying on bed or walking around with the help of Walker)
Then he takes his breakfast around 9 am (rice mainly),lunch around 1 pm(rice) and dinner around 8 pm(rice).

He takes mixed diet, appetite is decreased since 4 days.
He was a regular alcoholic but stopped 1 year ago.No other addictions.

No known allergies



GENERAL EXAMINATION

Well informed consent is taken. Examined in a well lit room.

Patient is conscious coherent and coperative well oriented to time place and person.

Moderately built and moderately Nourished. 

Vitals 


Afebrile

BP 140/80mmhg

PR 60bpm

Respiratory rate 25 cpm


 There is no icterus, clubbing, cyanosis or lympathadenopathy.
Pedal edema present.
No raised JVP


















Systemic examination 



Respiratory system examination 


INSPECTION:

•Chest is bilaterally symmetrical
Trachea – midline in position.0
Apical Impulse is not appreciated 
Chest is moving normally with respiration.
No dilated veins, scars, sinuses.


PALPATION:

•Trachea – midline in position.
Apical impulse is felt on the left 5th intercoastal space.
Chest is moving equally on respiration on both sides
Tactile Vocal fremitus - appreciated 

 
PERCUSSION:

The following areas were percussed on either sides- 

Supraclavicular-resonant
Infraclavicular- resonant
Mammary- resonant
Axillary- resonant
Infraaxillary- resonant
Suprascapular- resonant 
Infrascapular- resonant 
 interscapular - resonant.

 
AUSCULTATION:

•Normal vesicular breath sounds heard.
crepts present at right basal region 





Abdominal examination 

Distended

Abdominal rigidity present.

Tenderness present in epigastric region.

No fluid  thrill

No shifting  dullness 



CVS examination 


S1,S2 heard, no murmurs 







CNS EXAMINATION

Motor examination 
                          Right            Left 
Tone 
Upper limb        N.                 N
Lower limb        N    Amputated  

Power             
Upper limb       5/5                 5/5
Lower limb       5/5. Amputation 

Reflexes 
Biceps           ++.                    ++
Triceps           ++.                   ++
Supinator       ++.                   ++
Knee                 -                 Amputation 
Ankle                 - 
Plantar              - 


Loss of fine,crude touch, temperature and proprioception Left lower limb (till ankle)after Spine surgery secondary to trauma 10yrs ago



INVESTIGATION

On 28/7/23











ECG ON 28/7/23


ECG ON 29/7/23 ,9 AM

2D echo on 28/7/23
Usg on 28/7/23
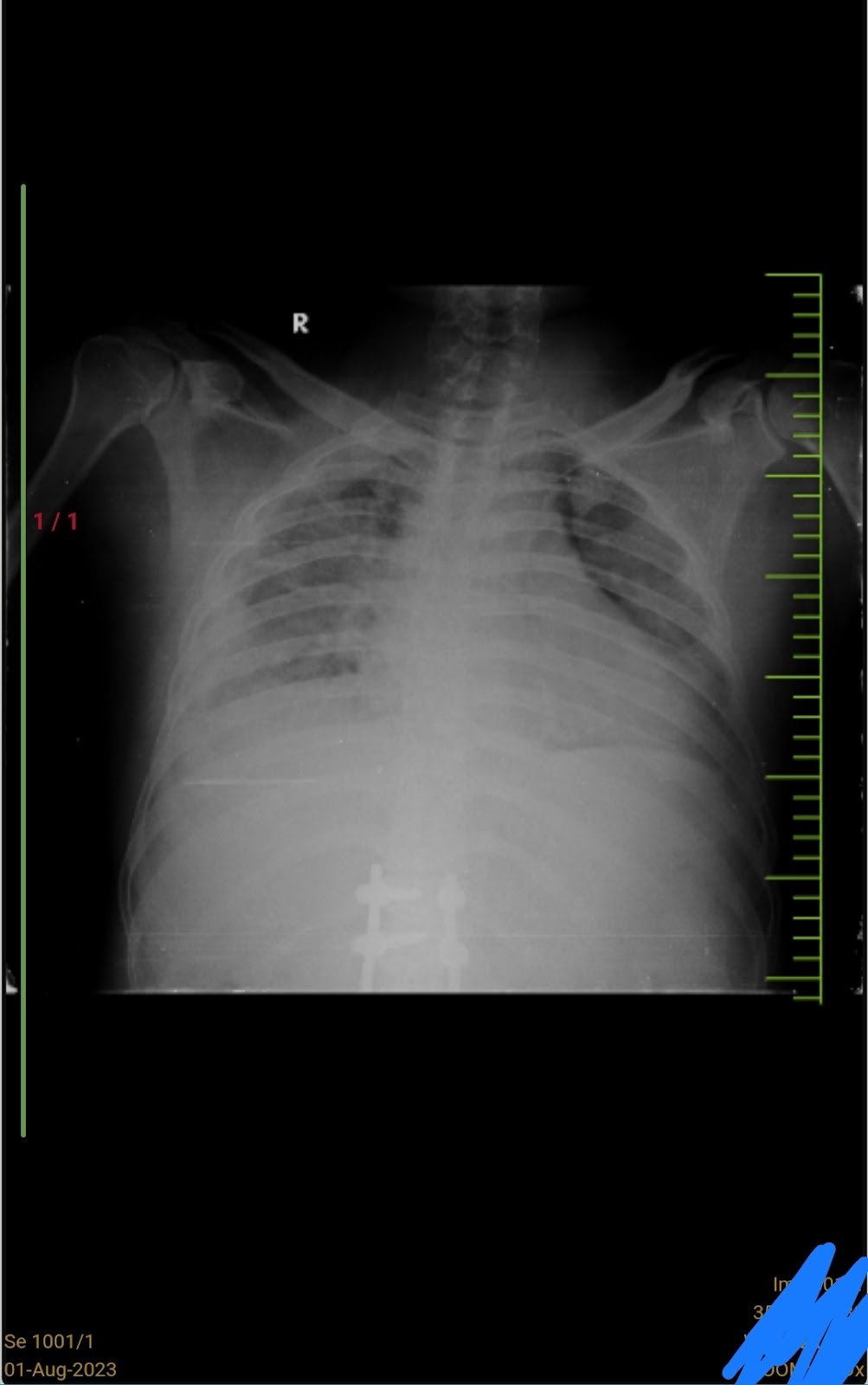
Chest xray On 28/7/23

On 30/7/23



Ecg on 30/7/23 (12am)
Ecg on 30/7/23(8am)


1/8/23
3/8/23


4/8/23
5/8/23

PROVISIONAL DIAGNOSIS

ANASARCA SECONDARY TO HFpEF WITH MODERATE PAH WITH CKD WITH DENOVO HTN


TREATMENT 

1. Inj. Lasix 40 mg IV/BD

2. INJ. PAN 40 mg IV/OV/BBF

3.PROTEIN POWDER 2 SCOOPS IN 100 ML MILK OR WATER

5.TAB. OROFER-XT PO/OD

6.TAB.SHELCAL -CT PO/OD

7.CAP. BIO D3 PO/ONCE A WEEK



Soap notes 
30.07.2023

Medicine ward
DR.NIKITHA(SR)
DR.HARI PRIYA(PGY2)
DR.GOVARDHINI(PGY1)
S: 
SOB not decreased,
Stool not passed,
Flatus passed
Pedal edema not decreased
Urine output(from yesterday night 9pm to today morning 9:20 am)- 250 ml 

O: 
Pt is c/c/c
Pallor present
BP - 120/70 mmHg
PR- 64bpm 
RR - 25cpm
Temp - 98.7 F 
GRBS -148 mg/dl 
SpO2 - 98% @RA
CVS - S1 S2 heard
RS - BAE+ , Right sided basal crepts present
P/A - distended and non tender
CNS - no FND


A: 
PEDAL EDEMA AND SOB UNDER EVALUATION 
? AKI (PRE RENAL)
?HEART FAILURE
                                                           

P:
1.INJ. LASIX 40 MG IV/BD( IF SBP MORE THAN 110 MM OF HG)

2.PROTEIN POWDER 2 SCOOPS IN 100 ML MILK OR WATER

3.TAB. OROFER-XT PO/OD

4.TAB.SHELCAL -CT PO/OD



Soap notes 
1.08.2023
AMC 
DR.NIKITHA(SR)
DR.HARI PRIYA(PGY2)
DR.GOVARDHINI(PGY1)

S: 
SOB increased,
Anasarca increased,
Stool passed,
No fever spike

O: 
Pt is c/c/c
Pallor present
BP - 160/100 mmHg
PR- 58bpm 
RR - 24cpm
Temp - 98.7 F 
GRBS -123 mg/dl 
SpO2 - 98% ON CPAP
CVS - S1 S2 heard,No murmurs
RS - BAE+ , B/L diffuse crepts present
P/A - distended and non tender
CNS - no FND
Input/Output- 800/900ml

A: 
ANASARCA SECONDARY TO HFpEF WITH MOD PAH WITH? CKD
                                                           

P:
1.INJ. LASIX 40 MG IV/TID( IF SBP MORE THAN 110 MM OF HG)

2.INTERMITTENT CPAP

3.PROTEIN POWDER 2 SCOOPS IN 100 ML MILK OR WATER

4.TAB. OROFER-XT PO/OD

5.TAB.SHELCAL -CT PO/OD

Soap notes 
2.08.2023

AMC-BED 2
DR.NIKITHA(SR)
DR.HARI PRIYA(PGY2)
DR.GOVARDHINI(PGY1)

S: 
SOB decreased,
Anasarca not subsided,
Stool not passed,
Flatus passed
No fever spike


O: 
Pt is c/c/c
Pallor present
BP - 160/100 mmHg
PR- 62bpm 
RR - 22cpm
Temp - 98.7 F
GRBS -99 mg/dl 
SpO2 - 95% ON RA
CVS - S1 S2 heard,No murmurs
RS - BAE+ , B/L fine basal crepts present
P/A - distended and non tender
CNS - no FND
Input/Output- 850/530ml

A: 
ANASARCA SECONDARY TO HFpEF WITH MOD PAH WITH? CKD WITH DENOVO HTN WITH CONSTIPATION UNDER EVALUATION
                                                           

P:
1. IVF NS @UO + 30 ML/ HOUR

2.INJ. LASIX 40 MG IV/TID( IF SBP MORE THAN 110 MM OF HG)

3.INTERMITTENT CPAP

4.PROTEIN POWDER 2 SCOOPS IN 100 ML MILK OR WATER

5.TAB. OROFER-XT PO/OD

6.TAB.SHELCAL -CT PO/OD

7.TAB. NICARDIA 10 MG PO/TID


Soap notes 
3.08.2023
AMC-BED 2
DR.NIKITHA(SR)
DR.HARI PRIYA(PGY2)
DR.GOVARDHINI(PGY1)

S: 
SOB decreased,
Anasarca not subsided,
Stool passed yesterday 
No fever spike


O: 
Pt is c/c/c
Pallor present
BP - 130/80 mmHg
PR- 70bpm 
RR - 22cpm
Temp - 98.7 F
GRBS -107 mg/dl 
SpO2 - 92% ON RA
CVS - S1 S2 heard,No murmurs
RS - BAE+ , B/L fine basal crepts present 
P/A - distended and non tender
CNS - no FND
Input/Output- 1500/700ml
Abdominal girth - 109 CM
Wt- 64 kgs

A: 
ANASARCA SECONDARY TO HFpEF WITH MODERATE PAH WITH CKD WITH DENOVO HTN
                                                           

P:
1. IVF NS @UO + 30 ML/ HOUR

2.INJ. LASIX 40 MG IV/TID( IF SBP MORE THAN 110 MM OF HG)

3.INTERMITTENT CPAP

4.PROTEIN POWDER 2 SCOOPS IN 100 ML MILK OR WATER

5.TAB. OROFER-XT PO/OD

6.TAB.SHELCAL -CT PO/OD

7.TAB. NICARDIA 10 MG PO/TID
                  

Comments

Popular posts from this blog

56 years male with bilateral loin pain.

polycystic kidney disease

15 years old school student with chest pain.